- Главная /
- О нас /
- Наши работы /
- Коронка CEREC на импланте: протезирование в короткие сроки
Коронка CEREC на импланте: протезирование в короткие сроки
Недавно к нам обратился наш пациент после проведенной имплантации. Операцию проводил Пименов А.Б., имплант хорошо прижился и теперь пришло время для протезирования.
Задача: качество и экономия времени.
Дело в том, что пациент проживает в другом городе, поэтому классические многоэтапные методы протезирования для него были крайне неудобны. В этом случае пришлось бы как минимум два раза посещать нашу клинику для примерок и коррекций или продолжать восстановление зуба в другой клинике в своем городе. Конечно, пациент хотел продолжить лечение у нас и мы предложили ему самое простое и бескомпромиссное решение — протезирование в короткие сроки по технологии CAD/CAM CEREC.
Ход работы:
В целом алгоритм действий схож с классическими методами, но только все намного быстрее и комфортнее для пациента — те же слепки, но только цифровые, такое же индивидуальное изготовление коронки, но только не в лаборатории, а прямо у нас в клинике.
Этап 1. Цифровой слепок.
Сперва мы просканировали полость рта специальной 3D камерой, предварительно установив маячок на место будущей коронки. Таким образом мы получили цифровую модель полости рта пациента.
Этап 2. Моделирование будущей коронки.
С помощью трехмерной модели всей ротовой полости и специального программного обеспечения мы смоделировали индивидуальное строение коронки, которая идеально вписывается в зубной ряд и выглядит максимально естественно.
Этап 3. Изготовление коронки.
После того как модель была готова, по ее проекту мы выточили коронку из керамическиого блока на специальном фрезерном автомате. Это заняло у нас примерно пол часа.
Этап 4. Закрепление формы и цвета.
Когда коронка была готова, мы покрыли ее слоем керамики под оттенок эмали здоровых зубов пациента и поставили на обжиг для придания прочности в специальную микро-печь.
Этап 5. Фиксация коронки.
Готовую коронку надежно установили на абатмент.
На всю работу ушло примерно два часа, пациент остался очень доволен. А мы, в свою очередь, благодарим его за предоставленную возможность создания фото-материалов и разрешение на их публикацию.
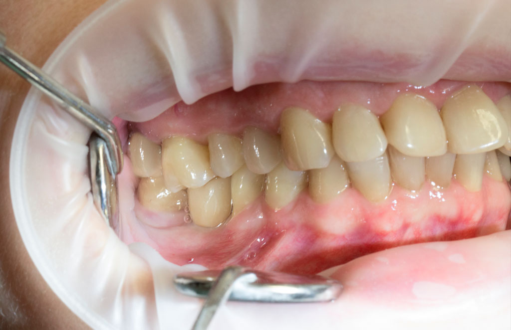
До лечения (начальное состояние)
Во время лечения
После лечения
Проводил лечение
Пименов Андрей Борисович
Врач-стоматолог хирург, кандидат медицинских наук
«Я рад дарить своим пациентам красивые улыбки, уверенность в себе и элементарный комфорт.»
Кропачев Егор Александрович
Врач-стоматолог ортопед
«Доброжелательная обстановка, профессионализм врачей и новейшее оборудование обеспечивают комфортное и безболезненное лечение.»



